Medical Encyclopedia

Medical Encyclopedia

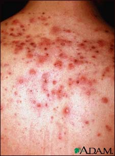
Acne, close-up of cysts on the back

Acne, close-up of cysts on the back

Cystic acne, or nodulocystic acne, is the most severe form of acne. Both pustules and hard red bumps are present in the skin. This form of acne is more difficult to treat and often requires taking an oral vitamin A derivative.

Update Date: 4/14/2008

Updated by: Michael Lehrer, M.D., Department of Dermatology, University of Pennsylvania Medical Center, Philadelphia, PA. Also reviewed by David Zieve, MD, MHA, Medical Director, A.D.A.M., Inc.

A.D.A.M. Logo

The information provided herein should not be used during any medical emergency or for the diagnosis or treatment of any medical condition. A licensed physician should be consulted for diagnosis and treatment of any and all medical conditions. Call 911 for all medical emergencies. Links to other sites are provided for information only -- they do not constitute endorsements of those other sites. Copyright 1997-2009, A.D.A.M., Inc. Any duplication or distribution of the information contained herein is strictly prohibited.