Medical Encyclopedia

Medical Encyclopedia

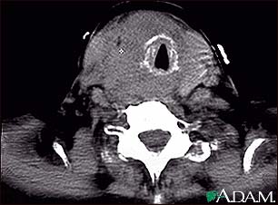
Thyroid cancer - CT scan

Thyroid cancer - CT scan

This CT scan shows a thyroid cancer tumor in the throat, encircling, narrowing, and displacing the windpipe (trachea).

Update Date: 12/14/2007

Updated by: Stephen Grund, M.D. Ph.D., Chief of Hematology/Oncology and Director of the George Bray Cancer Center at New Britain General Hospital, New Britain, CT. Review provided by VeriMed Healthcare Network.

A.D.A.M. Logo

The information provided herein should not be used during any medical emergency or for the diagnosis or treatment of any medical condition. A licensed physician should be consulted for diagnosis and treatment of any and all medical conditions. Call 911 for all medical emergencies. Links to other sites are provided for information only -- they do not constitute endorsements of those other sites. Copyright 1997-2009, A.D.A.M., Inc. Any duplication or distribution of the information contained herein is strictly prohibited.