Malaria
[Plasmodium falciparum] [Plasmodium knowlesi] [Plasmodium malariae] [Plasmodium ovale] [Plasmodium vivax]
Causal Agent
Blood parasites of the genus Plasmodium. There are approximately 156 named species of Plasmodium which infect various species of vertebrates. Four species are considered true parasites of humans, as they utilize humans almost exclusively as a natural intermediate host: P. falciparum, P. vivax, P. ovale and P. malariae. However, there are periodic reports of simian malaria parasites being found in humans, most reports implicating P. knowlesi. At the time of this writing, it has not been determined if P. knowlesi is being naturally transmitted from human to human via the mosquito, without the natural intermediate host (macaque monkeys, genus Macaca). Therefore, P. knowlesi is still considered a zoonotic malaria.
Life Cycle

The malaria parasite life cycle involves two hosts. During a blood meal, a malaria-infected female Anopheles mosquito inoculates sporozoites into the human host
. Sporozoites infect liver cells
and mature into schizonts
, which rupture and release merozoites
. (Of note, in P. vivax and P. ovale a dormant stage [hypnozoites] can persist in the liver and cause relapses by invading the bloodstream weeks, or even years later.) After this initial replication in the liver (exo-erythrocytic schizogony
), the parasites undergo asexual multiplication in the erythrocytes (erythrocytic schizogony
). Merozoites infect red blood cells
. The ring stage trophozoites mature into schizonts, which rupture releasing merozoites
. Some parasites differentiate into sexual erythrocytic stages (gametocytes)
. Blood stage parasites are responsible for the clinical manifestations of the disease.
The gametocytes, male (microgametocytes) and female (macrogametocytes), are ingested by an Anopheles mosquito during a blood meal
. The parasites' multiplication in the mosquito is known as the sporogonic cycle
. While in the mosquito's stomach, the microgametes penetrate the macrogametes generating zygotes
. The zygotes in turn become motile and elongated (ookinetes)
which invade the midgut wall of the mosquito where they develop into oocysts
. The oocysts grow, rupture, and release sporozoites
, which make their way to the mosquito's salivary glands. Inoculation of the sporozoites into a new human host perpetuates the malaria life cycle
.
Geographic Distribution
Malaria generally occurs in areas where environmental conditions allow parasite multiplication in the vector. Malaria today is usually restricted to tropical and subtropical areas and altitudes below 1,500 m., although in the past malaria was endemic in much of North America, Europe and even parts of northern Asia, and today is still present on the Korean peninsula. However, this present distribution could be affected by climatic changes and population movements. Plasmodium falciparum is the predominant species in the world. P. vivax and P. ovale are traditionally thought to occupy complementary niches, with P. ovale predominating in Sub-Saharan Africa and P. vivax in the other areas; but their geographical ranges do overlap. These two species are not always distinguishable on the basis of morphologic characteristics alone, and the use of molecular tools will help clarify their diagnosis and exact distribution. P. malariae has wide global distribution, being found in South America, Asia, and Africa, but it is less frequent than P. falciparum in terms of association with cases of infection. P. knowlesi is found in southeast Asia.
More on: Malaria Risk Information and Prophylaxis by Country
Clinical Presentation
The symptoms of uncomplicated malaria can be rather non-specific and the diagnosis can be missed if health providers are not alert to the possibility of this disease. Since untreated malaria can progress to severe forms that may be rapidly (<24 hours) fatal, malaria should always be considered in patients who have a history of exposure (mostly: past travel or residence in disease-endemic areas). The most frequent symptoms include fever and chills, which can be accompanied by headache, myalgias, arthralgias, weakness, vomiting, and diarrhea. Other clinical features include splenomegaly, anemia, thrombocytopenia, hypoglycemia, pulmonary or renal dysfunction, and neurologic changes. The clinical presentation can vary substantially depending on the infecting species, the level of parasitemia, and the immune status of the patient. Infections caused by P. falciparum are the most likely to progress to severe, potentially fatal forms with central nervous system involvement (cerebral malaria), acute renal failure, severe anemia, or acute respiratory distress syndrome. Other species can also have severe manifestations. Complications of P. vivax malaria include splenomegaly (with, rarely, splenic rupture), and those of P. malariae include nephrotic syndrome.
Plasmodium falciparum
Ring-form trophozoites of P. falciparum in thick and a thin blood smear.
Figure A: Rings of P. falciparum in a thick blood smear.
Figure B: Rings of P. falciparum in a thick blood smear.
Figure C: Rings of P. falciparum in a thick blood smear.
Figure D: Rings of P. falciparum in a thick blood smear.
Figure E: Rings of P. falciparum in a thick blood smear.
Figure F: Rings of P. falciparum in a thick blood smear.
Figure G: Rings of P. falciparum in a thin blood smear.
Figure H: Rings of P. falciparum in a thin blood smear.
Figure I: Rings of P. falciparum in a thin blood smear.
Figure J: Rings of P. falciparum in a thin blood smear.
Figure K: Rings of P. falciparum in a thin blood smear.
Figure L: Rings of P. falciparum in a thin blood smear. Image courtesy of the Arizona State Public Health Laboratory.
Ring-form trophozoites of P. falciparum in thin blood smears exhibiting Maurer's clefts.
Figure A: Ring-form trophozoites of P. falciparum in a thin blood smear, exhibiting Maurer's clefts.
Figure B: Ring-form trophozoites of P. falciparum in a thin blood smear, exhibiting Maurer's clefts.
Figure C: Ring-form trophozoites of P. falciparum in a thin blood smear, exhibiting Maurer's clefts.
Figure D: Ring-form trophozoites of P. falciparum in a thin blood smear, exhibiting Maurer's clefts.
Figure E: Ring-form trophozoites of P. falciparum in a thin blood smear, exhibiting Maurer's clefts.
Figure F: Ring-form trophozoites of P. falciparum in a thin blood smear, exhibiting Maurer's clefts.
Developing and older trophozoites of P. falciparum in thick and a thin blood smear.
Figure A: Trophozoites of P. falciparum in a thick blood smear.
Figure B: Trophozoite of P. falciparum in a thin blood smear.
Figure C: Trophozoite of P. falciparum in a thin blood smear.
Figure D: Trophozoite of P. falciparum in a thin blood smear. In this figure, a gametocyte can also be seen in the upper half of the image.
Figure E: Trophozoites of P. falciparum in a thin blood smear.
Figure F: Trophozoites of P. falciparum in a thin blood smear.
Gametocytes of P. falciparum in thick and a thin blood smear.
Figure A: Gametocyte of P. falciparum in a thick blood smear. Note also the presence of many ring-form trophozoites.
Figure B: Gametocytes of P. falciparum in a thick blood smear. Note also the presence of many ring-form trophozoites.
Figure C: Gametocytes of P. falciparum in a thick blood smear.
Figure D: Gametocyte of P. falciparum in a thin blood smear. Also seen in this image are ring-form trophozoites and an RBC exhibiting basophilic stippling (upper left).
Figure E: Gametocyte of P. falciparum in a thin blood smear. Also seen in this image are ring-form trophozoites exhibiting Maurer's clefts.
Figure F: Gametocyte of P. falciparum in a thin blood smear. In these specimens, Laveran's bibs can be seen.
Figure G: Gametocytes of P. falciparum in a thin blood smear. In these specimens, Laveran's bibs can be seen.
Figure H: Gametocyte of P. falciparum in a thin blood smear, showing Laveran's bib. Also seen in this image are ring-form trophozoites exhibiting Maurer's clefts.
Figure I: Gametocytes of P. falciparum in a thin blood smear. The gametocyte in the upper right is undergoing exflagellation, a process that normally occurs in the mid-gut of the mosquito host. However, it may be observed in human blood specimens when there is a delay in processing the blood.
Schizonts of P. falciparum in a thin blood smear.
Figure A: Schizont of P. falciparum in a thin blood smear.
Figure B: Schizont of P. falciparum in a thin blood smear.
Figure C: Schizont of P. falciparum in a thin blood smear. Trophozoites are also seen in this image.
Plasmodium knowlesi
Ring-form trophozoites of P. knowlesi in a thin blood smear.
Figure A: Ring-form trophozoites of P. knowlesi in a Giemsa-stained thin blood smear from a human patient that traveled to the Philippines. Note a multiply-infected RBC in this image. Image courtesy of the Wadsworth Center, New York State Department of Health.
Figure B: Ring-form trophozoite of P. knowlesi in a Giemsa-stained thin blood smear from a human patient that traveled to the Philippines. Image courtesy of the Wadsworth Center, New York State Department of Health.
Figure C: Ring-form trophozoites of P. knowlesi in a Giemsa-stained thin blood smear from a human patient that traveled to the Philippines. Note a multiply-infected RBC in this image. Image courtesy of the Wadsworth Center, New York State Department of Health.
Figure D: Ring-form trophozoites of P. knowlesi in a Giemsa-stained thin blood smear from a human patient that traveled to the Philippines. Image courtesy of the Wadsworth Center, New York State Department of Health.
Figure E: Ring-form trophozoites of P. knowlesi in a Giemsa-stained thin blood smear from a human patient that traveled to the Philippines. Image courtesy of the Wadsworth Center, New York State Department of Health.
Figure F: Ring-form trophozoites of P. knowlesi in a Giemsa-stained thin blood smear from a human patient that traveled to the Philippines. Note a multiply-infected RBC in this image. Image courtesy of the Wadsworth Center, New York State Department of Health.
Older, developing trophozoites of P. knowlesi in a thin blood smear.
Figure A: Band-form trophozoite of P. knowlesi in a Giemsa-stained thin blood smear from a human patient that traveled to the Philippines. Image courtesy of the Wadsworth Center, New York State Department of Health.
Figure B: Band-form (upper) and ring-form (lower) trophozoites of P. knowlesi, from the same specimen as Figure A.
Gametocytes of P. knowlesi in thin blood smears.
Figure A: Gametocyte of P. knowlesi in a Giemsa-stained thin blood smear from a patient that traveled to the Philippines. Image courtesy of the Wadsworth Center, New York State Department of Health.
Figure B: Gametocyte of P. knowlesi in a Giemsa-stained thin blood smear from a patient that traveled to the Philippines. Note also a ring-form trophozoite in the lower left of this image. Image courtesy of the Wadsworth Center, New York State Department of Health.
Schizonts of P. knowlesi in a thin blood smear.
Figure A: Mature schizont in a Giemsa-stained thin blood smear from a patient that traveled to the Philippines.Images courtesy of the Wadsworth Center, New York State Department of Health.
Figure B: Mature schizont in a Giemsa-stained thin blood smear from a patient that traveled to the Philippines. Note also a ring-form trophozoite to the right of the schizont in this figure. Images courtesy of the Wadsworth Center, New York State Department of Health.
Figure C: Developing schizont in a Giemsa-stained thin blood smear from the same patient seen in Figures A and B.
Figure D: Mature schizont in a Giemsa-stained thin blood smear from the same patient seen in Figures A-C.
Figure E: Developing schizont in a Giemsa-stained thin blood smear from the same patient as Figures A-D.
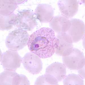
Plasmodium malariae
Ring-form trophozoites of P. malariae in thick and think blood smears.
Figure A: Ring-form (lower right) and developing (upper left) trophozoites of P. malariae in a thick blood smear.
Figure B: "Birds-eye" trophozoite of P. malariae in a thin blood smear.
Figure C: Ring-form trophozoite of P. malariae in a thin blood smear.
Figure D: Ring-form trophozoite of P. malariae in a thin blood smear.
Trophozoites of P. malariae in a thick blood smear.
Figure A: Trophozoite of P. malariae in a thick blood smear.
Figure B: Trophozoite of P. malariae in a thick blood smear.
Band-form trophozoites of P. malariae in a thin blood smear.
Figure A: Band-form trophozoite of P. malariae in a thin blood smear.
Figure B: Band-form trophozoite of P. malariae in a thin blood smear.
Figure C: Band-form trophozoite of P. malariae in a thin blood smear.
Figure D: Band-form trophozoite of P. malariae in a thin blood smear.
Figure E: Band-form trophozoite of P. malariae in a thin blood smear.
Basket-form trophozoites of P. malariae in a thin blood smear.
Figure A: Basket-form trophozoite of P. malariae in a thin blood smear.
Figure B: Basket-form trophozoite of P. malariae in a thin blood smear.
Figure C: Basket-form trophozoite of P. malariae in a thin blood smear.
Gametocytes of P. malariae in thick and a thin blood smear.
Figure A: Gametocyte of P. malariae in a thick blood smear.
Figure B: Gametocyte of P. malariae in a thick blood smear.
Figure C: Gametocyte of P. malariae in a thin blood smear.
Figure D: Gametocyte of P. malariae in a thin blood smear.
Figure E: Developing gametocyte of P. malariae in a thin blood smear.
Figure F: Developing gametocyte of P. malariae in a thin blood smear.
Schizonts of P. malariae in thick and a thin blood smear.
Figure A: Schizont of P. malariae in a thick blood smear.
Figure B: Schizont of P. malariae in a thick blood smear.
Figure C: Schizonts of P. malariae in a thick blood smear.
Figure D: Schizont of P. malariae in a thick blood smear.
Figure E: Schizonts of P. malariae in a thin blood smear.
Figure F: Schizont of P. malariae in a thin blood smear.
Figure G: Schizont of P. malariae in a thin blood smear.
Figure H: Schizont of P. malariae in a thin blood smear.
Figure I: Schizont of P. malariae in a thin blood smear.
Figure J: Schizont of P. malariae in a thin blood smear.
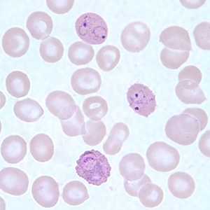
Plasmodium ovale
Ring-form trophozoites of P. ovale in thick and a thin blood smear.
Figure A: Ring-form trophozoite of P. ovale in a thick blood smear.
Figure B: Ring-form trophozoite of P. ovale in a thick blood smear.
Figure C: Ring-form trophozoites of P. ovale in a thin blood smear. Note the multiply-infected RBC in this image.
Figure D: Ring-form trophozoites of P. ovale in a thin blood smear.
Figure E: Ring-form trophozoites of P. ovale in a thin blood smear. Note the multiply-infected RBC in this image.
Trophozoites of P. ovale in thick and thin blood smears.
Figure A: Trophozoite of P. ovale in a thick blood smear.
Figure B: Trophozoite of P. ovale in a thin blood smear. Note the fimbriation.
Figure C: Trophozoite of P. ovale in a thin blood smear. Note the fimbriation and Schüffner's dots.
Figure D: Trophozoite of P. ovale in a thin blood smear. Note the fimbriation and Schüffner's dots.
Figure E: Trophozoites of P. ovale in a thin blood smear.
Figure F: Infected RBCs showing developing (lower) and ring-form (upper two) trophozoites of <em.P. ovale in a thin blood smear.
Figure G: Trophozoites of P. ovale in a thin blood smear.
Gametocytes of P. ovale in thick and thin blood smears.
Figure A: Gametocyte of P. ovale in a thick blood smear.
Figure B: Gametocyte of P. ovale (red arrow) nestled between two white blood cells in a thick blood smear.
Figure C: Microgametocyte of P. ovale in a thin blood smear. Note the elongated, oval shape and the Schüffner's dots.
Figure D: Macrogametocyte of P. ovale in a thin blood smear. Note the fimbriation.
Figure E: Macrogametocyte of P. ovale in a thin blood smear. Note the fimbriation.
Figure F: Macrogametocyte of P. ovale in a thin blood smear, showing Schüffner's dots.
Figure G: Macrogametocyte of P. ovale in a thin blood smear.
Figure H: Macrogametocyte of P. ovale in a thin blood smear.
Schizonts of P. ovale in thick and thin blood smears.
Figure A: Schizont of P. ovale in a thick blood smear.
Figure B: Schizonts of P. ovale in a thick blood smear.
Figure C: Schizont of P. ovale in a thick blood smear.
Figure D: Schizont of P. ovale in a thin blood smear. Notice the fimbriation.
Figure E: Schizont of P. ovale in a thin blood smear. Notice the fimbriation.
Figure F: Schizont of P. ovale in a thin blood smear.
Figure G: Schizont (upper right) and ring-form trophozoite (lower left) of P. ovale in a thin blood smear.
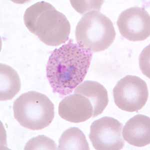
Plasmodium vivax
Ring-form trophozoites of P. vivax in thick and thin blood smears.
Figure A: Ring-form trophozoites of P. vivax in a thick blood smear.
Figure B: Ring-form trophozoites of P. vivax in a thick blood smear.
Figure C: Ring-form trophozoite of P. vivax in a thin blood smear.
Figure D: Ring-form trophozoites of P. vivax in a thin blood smear.
Figure E: Ring-form trophozoites of P. vivax in a thin blood smear.
Figure F: Ring-form trophozoites of P. vivax in a thin blood smear.
Figure G: Ring-form trophozoites of P. vivax in a thin blood smear.
Trophozoites of P. vivax in thick and thin blood smears.
Figure A: Trophozoite of P. vivax in a thick blood smear.
Figure B: Trophozoite of P. vivax in a thin blood smear. Note the amoeboid appearance, Schüffner's dots and enlarged infected RBCs.
Figure C: Trophozoites of P. vivax in a thin blood smear. Note the amoeboid appearance, Schüffner's dots and enlarged infected RBCs.
Figure D: Trophozoite of P. vivax in a thin blood smear. Note the amoeboid appearance, Schüffner's dots and enlarged infected RBCs.
Figure E: Trophozoite of P. vivax in a thin blood smear. Note the amoeboid appearance, Schüffner's dots and enlarged infected RBCs.
Figure F: Trophozoite of P. vivax in a thin blood smear. The infected RBCs are also noticeably larger than the uninfected RBCs.
Figure G: Trophozoite of P. vivax in a thin blood smear. Note the band-like appearance of the trophozoite in this figure that may be mistaken for a band-form trophozoite of P. malariae. Note, however, the fine, light brown pigment that is distributed throughout the cytoplasm (pigment in P. malariae is usually darker and coarser and distributed on the periphery of the cytoplasm). The infected RBCs are also noticeably larger than the uninfected RBCs.
Gametocytes of P. vivax in thick and thin blood smears.
Figure A: Gametocyte (upper) and trophozoite (lower) of P. vivax in a thick blood smear.
Figure B: Gametocyte of P. vivax in a thick blood smear.
Figure C: Macrogametocytes of P. vivax in a thin blood smear. Note the enlargement of the gametocytes compared to uninfected RBCs.
Figure D: Macrogametocyte of P. vivax in a thin blood smear. Note the enlargement of the gametocytes compared to uninfected RBCs.
Figure E: Macrogametocyte of P. vivax in a thin blood smear. Note the enlargement of the gametocytes compared to uninfected RBCs.
Figure F: Macrogametocyte of P. vivax in a thin blood smear. Note the enlargement of the gametocytes compared to uninfected RBCs.
Figure G: Macrogametocytes of P. vivax in a thin blood smear.
Figure H: Macrogametocyte of P. vivax in a thin blood smear.
Ookinetes of P. vivax in thick and thin blood smears.
Figure A: Ookinete of P. vivax in a thick blood smear.
Figure B: Ookinete of P. vivax in a thick blood smear.
Figure C: Ookinete of P. vivax in a thick blood smear.
Figure D: Ookinete of P. vivax in a thin blood smear.
Figure E: Ookinete of P. vivax in a thin blood smear.
Schizonts of P. vivax in thick and thin blood smears.
Figure A: Schizont of P. vivax in a thick blood smear.
Figure B: Schizont of P. vivax in a thick blood smear.
Figure C: Schizont of P. vivax in a thick blood smear.
Figure D: Schizont of P. vivax in a thick blood smear.
Figure E: Schizont of P. vivax in a thick blood smear.
Figure F: Schizont of P. vivax in a thin blood smear.
Figure G: Schizont of P. vivax in a thin blood smear.
Figure H: Schizont of P. vivax in a thin blood smear.
Figure I: Ruptured schizont of P. vivax in a thin blood smear, showing free merozoites and pigment.
Diagnostic Findings
Microscopy
Microscopy (morphologic analysis) continues to be the "gold standard" for malaria diagnosis. Parasites may be visualized on both thick and thin blood smears stained with Giemsa, Wright, or Wright-Giemsa stains. Giemsa is the preferred stain, as it allows for detection of certain morphologic features (e.g. Schüffner’s dots, Maurer’s clefts, etc.) that may not be seen with the other two. Ideally, the thick smears are used to detect the presence of parasites while the thin smears are used for species-level identification. Quantification may be done on both thick and thin smears.
| Plasmodium species | Stages found in blood | Appearance of Erythrocyte (RBC) | Appearance of Parasite |
|---|---|---|---|
| P. falciparum | Ring | normal; multiple infection of RBC more common than in other species; Maurer's clefts (under certain staining conditions) | delicate cytoplasm; 1 to 2 small chromatin dots; occasional appliqué (accolé) forms |
| Trophozoite | normal; rarely, Maurer's clefts (under certain staining conditions) | seldom seen in peripheral blood; compact cytoplasm; dark pigment | |
| Schizont | normal; rarely, Maurer's clefts (under certain staining conditions) | seldom seen in peripheral blood; mature = 8 to 24 small merozoites; dark pigment, clumped in one mass | |
| Gametocyte | distorted by parasite | crescent or sausage shape; chromatin in a single mass (macrogametocyte) or diffuse (microgametocyte); dark pigment mass | |
| P. vivax | Ring | normal to 1.25x, round; occasionally fine Schüffner's dots; multiple infection of RBC not uncommon | large cytoplasm with occasional pseudopods; large chromatin dot |
| Trophozoite | enlarged 1.5 to 2x; may be distorted; fine Schüffner's dots | large amoeboid cytoplasm; large chromatin; fine, yellowish-brown pigment | |
| Schizont | enlarged 1.5 to 2x; may be distorted; fine Schüffner's dots |
large, may almost fill RBC; mature = 12 to 24 merozoites; yellowish-brown, coalesced pigment | |
| Gametocyte | enlarged 1.5 to 2x; may be distorted; fine Schüffner's dots | round to oval; compact; may almost fill RBC; chromatin compact, eccentric (macrogametocyte) or diffuse (microgametocyte); scattered brown pigment | |
| P. ovale | Ring | normal to 1.25x, round to oval; occasionally Schüffner's dots; occasionally fimbriated; multiple infection of RBC not uncommon | sturdy cytoplasm; large chromatin |
| Trophozoite | normal to 1.25x; round to oval; some fimbriated; Schüffner's dots | compact with large chromatin; dark-brown pigment | |
| Schizont | normal to 1.25x, round to oval, some fimbriated, Schüffner's dots | mature = 6 to 14 merozoites with large nuclei, clustered around mass of dark-brown pigment | |
| Gametocyte | normal to 1.25x; round to oval, some fimbriated; Schüffner's dots | round to oval; compact; may almost fill RBC; chromatin compact, eccentric (macrogametocyte) or more diffuse (microgametocyte); scattered brown pigment | |
| P. malariae | Ring | normal to 0.75x | sturdy cytoplasm; large chromatin |
| Trophozoite | normal to 0.75x; rarely, Ziemann's stippling (under certain staining conditions) | compact cytoplasm; large chromatin; occasional band forms; coarse, dark-brown pigment | |
| Schizont | normal to 0.75x; rarely, Ziemann's stippling (under certain staining conditions) | mature = 6 to 12 merozoites with large nuclei, clustered around mass of coarse, dark-brown pigment; occasional rosettes | |
| Gametocyte | normal to 0.75x; rarely, Ziemann's stippling (under certain staining conditions) | round to oval; compact; may almost fill RBC; chromatin compact, eccentric (macrogametocyte) or more diffuse (microgametocyte); scattered brown pigment | |
| P. knowlesi | Ring | normal to 0.75x; multiple infection not uncommon. | delicate cytoplasm; 1 to 2 prominent chromatin dots; occasional appliqué (accolé) forms |
| Trophozoite | normal to 0.75x; rarely, Sinton and Mulligan's stippling (under certain staining conditions) | compact cytoplasm; large chromatin; occasional band forms; coarse, dark-brown pigment | |
| Schizont | normal to 0.75x; rarely, Sinton and Mulligan's stippling (under certain staining conditions) | mature = up to 16 merozoites with large nuclei, clustered around mass of coarse, dark-brown pigment; occasional rosettes; mature merozoites appear segmented | |
| Gametocyte | normal to 0.75x; rarely, Sinton and Mulligan's stippling (under certain staining conditions) | round to oval; compact; may almost fill RBC; chromatin compact, eccentric (macrogametocyte) or more diffuse (microgametocyte); scattered brown pigment |
Molecular Diagnosis
Agarose gel (2%) analysis of a PCR diagnostic test for species-specific detection of Plasmodium DNA.
Morphologic characteristics of malaria parasites can determine a parasite species, however, microscopists may occasionally fail to differentiate between species in cases where morphologic characteristics overlap (especially Plasmodium vivax and P. ovale), as well as in cases where parasite morphology has been altered by drug treatment or improper storage of the sample. In such cases, the Plasmodium species can be determined by using confirmatory molecular diagnostic tests. In addition, molecular tests such as PCR can detect parasites in specimens where the parasitemia may be below the detectable level of blood film examination. The methods currently used at CDC are described below.
Species-specific PCR diagnosis of malaria
Plasmodium genomic DNA is extracted from 200 µl whole blood using the QIAamp Blood Kit (Cat. No. 29106; Qiagen Inc., Chatsworth, CA.) or a similar product that can yield the comparable concentration of genomic DNA from the same volume of blood.
Detection and identification of Plasmodium to the species level is done with a real-time PCR assay as described by Rougemont et al 2004. This is a dual duplex assay that detects P. falciparum and P. vivax in one reaction, and P. malariae and P. ovale in a parallel reaction, using species-specific TaqMan probes. In cases where infection by more than one Plasmodium species is suspected, there is an option to use a conventional nested PCR assay (Snounou el al, 1993) that has an improved resolution of mixed infection compared to the real-time PCR assay.
Agarose gel (2%) analysis of a PCR diagnostic test for species-specific detection of Plasmodium DNA. PCR was performed using nested primers of Snounou et al.1
- Lane S: Molecular base pair standard (50-bp ladder). Black arrows show the size of standard bands.
- Lane 1: The red arrow shows the diagnostic band for P. vivax (size: 120 bp).
- Lane 2: The red arrow shows the diagnostic band for P. malariae (size: 144 bp).
- Lane 3: The red arrow shows the diagnostic band for P. falciparum (size: 205 bp).
- Lane 4: The red arrow shows the diagnostic band for P. ovale (size: 800 bp).
Reference:
Mathieu Rougemont, Madeleine Van Saanen, Roland Sahli, Hans Peter Hinrikson, Jacques Bille and Katia Jaton. Detection of Four Plasmodium Species in Blood from Humans by 18S rRNA Gene Subunit-Based and Species-Specific Real-Time PCR Assays. J. Clin. Microbiol. 2004, 42(12):5636.
Snounou G, Viriyakosol S, Zhu XP, et al. High sensitivity detection of human malaria parasites by the use of nested polymerase chain reaction. Mol Biochem Parasitol 1993;61:315-320.
Antibody Detection
Positive IFA result with P. malariae schizont antigen.
Malaria antibody detection for clinical diagnosis is performed using the indirect fluorescent antibody (IFA) test. The IFA procedure can be used as a diagnostic tool to determine if a patient has been infected with Plasmodium. Because of the time required for development of antibody and also the persistence of antibodies, serologic testing is not practical for routine diagnosis of acute malaria. However, antibody detection may be useful for:
- screening blood donors involved in cases of transfusion-induced malaria when the donor's parasitemia may be below the detectable level of blood film examination
- testing a patient who has been recently treated for malaria but in whom the diagnosis is questioned
Species-specific testing is available for the four human species: P. falciparum, P. vivax, P. malariae, and P. ovale. Cross reactions often occur between Plasmodium species and Babesia species. Blood stage Plasmodium species schizonts (meronts) are used as antigen. The patient's serum is exposed to the organisms; homologous antibody, if present, attaches to the antigen, forming an antigen-antibody (Ag-Ab) complex. Fluorescein-labeled antihuman antibody is then added, which attaches to the patient's malaria-specific antibodies. When examined with a fluorescence microscope, a positive reaction is when the parasites fluoresce an apple green color.
Reference:
Sulzer AJ, and Wilson M. The fluorescent antibody test for malaria. Crit Rev Clin Lab Sci 1971;2:601-609.
Antigen Detection
In addition to microscopy and molecular methods, there are methods for detecting malaria parasites on the basis of antigens or enzymatic activities associated with the parasites. These methods are often packaged as individual test kits called rapid diagnostic tests or RDTs.
These methods include, among others:
- detection of an antigen (histidine rich protein-2, HRP-2) associated with malaria parasites (P. falciparum)
- detection of a Plasmodium specific aldolase
- detection of a Plasmodium associated lactate dehydrogenase (pLDH) either through its enzymatic activity or by immunoassay
There is currently only one RDT licensed for use in the United States. For additional information visit http://www.cdc.gov/malaria/diagnosis_treatment/rdt.html
Bench Aids
Treatment Information
Guidelines for Treatment of Malaria in the United States
(Based on drugs currently available for use in the United States – updated July 1, 2013)
Malaria can be a severe, potentially fatal disease (especially when caused by Plasmodium falciparum) and treatment should be initiated as soon as possible.
Patients who have severe P. falciparum malaria or who cannot take oral medications should be given the treatment by continuous intravenous infusion.
Most drugs used in treatment are active against the parasite forms in the blood (the form that causes disease) and include:
- chloroquine
- atovaquone-proguanil (Malarone®)
- artemether-lumefantrine (Coartem®)
- mefloquine (Lariam®)
- quinine
- quinidine
- doxycycline (used in combination with quinine)
- clindamycin (used in combination with quinine)
- artesunate (not licensed for use in the United States, but available through the CDC malaria hotline)
In addition, primaquine is active against the dormant parasite liver forms (hypnozoites) and prevents relapses. Primaquine should not be taken by pregnant women or by people who are deficient in G6PD (glucose-6-phosphate dehydrogenase). Patients should not take primaquine until a screening test has excluded G6PD deficiency.
How to treat a patient with malaria depends on:
- The type (species) of the infecting parasite
- The area where the infection was acquired and its drug-resistance status
- The clinical status of the patient
- Any accompanying illness or condition
- Pregnancy
- Drug allergies, or other medications taken by the patient
Report a serious drug side effect
If you have had a serious side effect while taking a drug, you or your health care provider can report that side effect to the federal Food and Drug Administration (FDA). MedWatch is the FDA Safety Information and Adverse Event Reporting Program. You are encouraged to take the reporting form www.fda.gov/medwatch/SAFETY/3500.pdf ![]()
to your health care provider.
Alternatively, health care providers can report to the FDA.
- online www.accessdata.fda.gov/scripts/medwatch/

- by phone (1-800-FDA-1088)
- or fax (1-800-FDA-0178)
The advantage to having your health care provider file the report is that he/she can provide clinical information based on your medical record that can help the FDA evaluate the report.
However, for a variety of reasons, you may not wish to have the form completed by your provider, or the provider may not wish to complete the form. Your health care provider is not required to report to the FDA. In this case, you may complete the online reporting form at www.fda.gov/medwatch/report/consumer/consumer.htm
yourself via the Internet.
Related Links
The CDC malaria diagnosis and treatment guidelines have also been published in an article in JAMA May 23, 2007 and can be accessed for free online: view JAMA article
.
DPDx is an education resource designed for health professionals and laboratory scientists. For an overview including prevention and control visit www.cdc.gov/parasites/.
- Page last reviewed: May 3, 2016
- Page last updated: May 3, 2016
- Content source:
- Global Health – Division of Parasitic Diseases and Malaria
- Notice: Linking to a non-federal site does not constitute an endorsement by HHS, CDC or any of its employees of the sponsors or the information and products presented on the site.
- Maintained By:
ShareCompartir
Preparation of Blood Smears
Staining for Malaria Parasites
Laboratory diagnosis of Plasmodium falciparum
Laboratory Diagnosis of Plasmodium vivax
Laboratory Diagnosis of Plasmodium ovale
Laboratory Diagnosis of Plasmodium malariae
Comparison of the Plasmodium Species Which Cause Human Malaria
Plasmodium spp. Blood Stage Parasites, Thin Blood Smears
Plasmodium spp. Blood Stage Parasites, Thick Blood Smears
Calculating Percent Parasitemia and Life Cycle of Plasmodium Species